Before and After Pictures Photo Gallery
Veneers

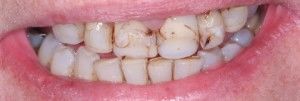
Veneers (Before) This patient had old fillings which were breaking down and staining.

Veneers (After) The veneers were prepared to protect the teeth and beautify the smile.
Traumatic Fracture

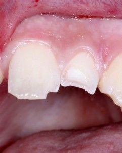
Traumatic Fracture 1 (Before) This 11 year old broke her front right tooth playing volleyball

Traumatic Fracture 1 (After) This was restored in one visit with tooth colored filling.

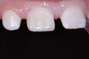
Traumatic Fracture 2 (Before) This patient had trauma to the mouth which fractured these front teeth. This was restored in one visit with tooth colored filling.

Traumatic Fracture 2 (After)

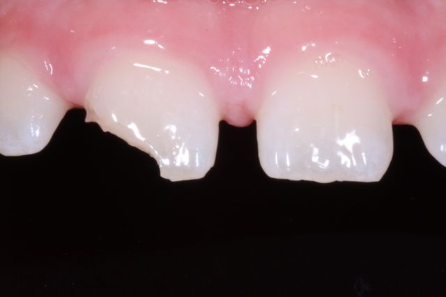
Broken Left Central (Before) This patient fractured the front tooth.

Broken Left Central (After) This was restored in one visit with tooth colored filling.
Composite Filling

Old Composite (Before) This old filling was worn and did not match anymore. It was replaced with new tooth colored filling material.

Old Composite (After)
Implants

2 Implants Placed in the Lower Right Area

The Implants Were Restored With Tooth Colored Crowns
Whitening

Kor Bleach (Before)



